周りにバレたくない!二重整形後の腫れやダウンタイムはどのくらい?学校や仕事はいつから行ける?
「二重整形に興味はあるけれど、周りにバレるのは絶対に避けたい…」 「腫れはどのくらい続くの?仕事や学校は何日休めばいい?」

このような不安から、理想の自分への一歩を踏み出せずにいませんか?実は、ダウンタイムの期間は、施術選びと術後の過ごし方次第で大きく変わります。例えば、腫れの少ない埋没法なら、週末を利用した最短2~3日のお休みで社会復帰される方も少なくありません。
この記事では、15,000例以上の二重整形を手掛けた形成外科専門医が、腫れのピークやリアルな経過、そして周りに気づかれずにダウンタイムを乗り切るための具体的なテクニックを徹底解説します。正しい知識で不安を解消し、自信に満ちた新しい自分に出会いましょう。
二重整形のダウンタイム期間と腫れの経過
「二重整形に興味はあるけれど、周りにバレたくない…」 「どのくらい腫れるの?」「仕事や学校は何日休めばいい?」
二重整形を考える際、このような不安をお持ちになるのは当然のことです。 二重整形には、必ず「ダウンタイム」と呼ばれる回復期間が伴います。
しかし、事前に正しい知識を持ち、ご自身の生活に合った計画を立てることで、その不安は大きく和らぎます。 形成外科・美容外科の専門医として、ダウンタイムの期間や腫れの具体的な経過について、詳しく解説していきます。

埋没法と切開法 ダウンタイムの長さと症状の違いを徹底比較
二重整形には、大きく分けて「埋没法」と「切開法」の2種類があります。 どちらを選ぶかによって、ダウンタイムの長さや症状が大きく異なります。
そもそも二重まぶたは、目を開ける筋肉(上眼瞼挙筋)から伸びる組織が皮膚にくっつくことで、目を開けたときに皮膚が折りたたまれて線ができる仕組みです。 埋没法は医療用の細い糸でこのつながりを再現し、切開法はまぶたを切開して直接的な癒着を作る方法です。
それぞれの特徴を理解し、ご自身に合った方法を選びましょう。
| 項目 | 埋没法 | 切開法 |
|---|---|---|
| ダウンタイム期間の目安 | 約1週間~2週間 | 約2週間~1ヶ月以上 |
| 腫れのピーク | 術後2~3日 | 術後約1週間 |
| 内出血 | 出ないことも多い | 1~2週間続くことがある |
| 抜糸 | なし | 術後5~7日後 |
| 完成までの期間 | 約1ヶ月 | 約3~6ヶ月 |
| 特徴 | 腫れが少なく回復が早い。 ただし、まれに糸が取れて元に戻る可能性がある。 | 腫れは長引くが、半永久的な効果が期待できる。 |
海外の研究でも、埋没法は術後の腫れや充血が軽い傾向にあることが示されています。 一方、切開法は構造を直接作り変えるため、術後の痛みや腫れが強く出やすいことが報告されています。
また、埋没法はごくまれに糸がゆるんで二重のラインが薄くなる可能性がありますが(研究によっては再発率約5.88%との報告も)、切開法の再発率は1%未満と非常に低いのが特徴です。
日本美容外科学会(JSAPS)も示すように、どちらの方法にもメリット・デメリットがあります。 ご自身のまぶたの状態や希望する二重のライン、確保できるお休みの期間などを考慮し、医師と十分に相談することが大切です。
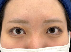
【写真で見る】術後1日目から1ヶ月後までの腫れ・内出血のリアルな経過
ここでは、手術後のまぶたがどのように変化していくのか、時系列で具体的に解説します。 実際の状態には個人差が大きいですが、一般的な経過を知っておくことで、心の準備ができます。
施術直後~当日

▲埋没法

▲切開法
局所麻酔の影響と手術操作による組織の反応で、腫れているように感じられます。ジンジンとした軽い痛みを感じることもあります。
術後1~3日目
炎症反応のピークで、腫れが最も目立ちます。特に朝起きた時は、就寝中に水分が顔に集まるため、むくみが加わり腫れが強く見えます。内出血が出ている場合は、赤紫色がはっきりと見えます。
術後4~7日目
大きな腫れが引き始める時期です。内出血の色は、血液中のヘモグロビンが分解される過程で、赤紫色から青色、そして黄色へと変化していきます。切開法の場合は、この時期に抜糸を行うのが一般的です。
術後1~2週間

▲埋没法

▲切開法
ほとんどの腫れが落ち着き、メイクをすれば外出しても気づかれにくい程度になります。埋没法の場合、この時点でかなり自然な見た目になります。
術後1ヶ月

▲埋没法

▲切開法
むくみもほとんど取れ、ほぼ完成に近い自然な二重ラインになります。ただし、日本美容外科学会(JSAPS)の情報にもあるように、組織が完全に安定するには1〜2ヶ月かかることもあります。特に切開法の場合は、まだ若干の硬さや食い込みが感じられることがあります。
学校や仕事は何日休むべき?社会復帰までの具体的な日数と職業別の目安
ダウンタイム中、どれくらいお休みが必要かは、施術方法と職業によって異なります。 ご自身の状況に合わせて、無理のないスケジュールを立てましょう。
埋没法の場合
腫れが比較的少ないため、2~3日のお休みがあると安心です。週末を利用して金曜日に施術を受け、月曜日から出勤・通学される方も多くいらっしゃいます。
切開法の場合
腫れや内出血が強く出る傾向があるため、抜糸までの5日~1週間程度のお休みを取るのが一般的です。絶対に周りにバレたくない場合は、大きな腫れが引く2週間~1ヶ月程度のお休みを検討するとより安心です。
【職業別の目安】
デスクワーク・リモートワークの方

人と対面する機会が少なければ、埋没法なら2~3日、切開法でも抜糸後からメガネなどでカバーして復帰される方もいます。オンライン会議では、少し画質を落としたり、カメラから距離を取ったりする工夫も有効です。
接客業・営業職など人と会う機会が多い方
第一印象が大切な職業の場合、埋没法でも3~5日、切開法なら内出血や腫れが目立たなくなる1~2週間程度のお休みがあると、精神的にも安心して過ごせます。
ダウンタイム中の痛みやゴロツロ感はどのくらい?経験者の声と対処法
手術後の腫れ以外にも、痛みや目の違和感を心配される方が多くいます。 これらの症状はほとんどの場合一時的なもので、時間と共に軽快していきます。
痛みについて
手術後は、じんわりとした軽い痛みや、目をぎゅっと閉じた時に痛みを感じることがあります。この痛みは、クリニックから処方される痛み止めを服用すれば十分にコントロールできる程度です。海外の研究では、切開法の方が術後の痛みが強く出る傾向があるとされていますが、強い痛みが何日も続く場合は、感染などの可能性も考えられるため、すぐにクリニックへ連絡してください。
目の違和感・ゴロツキ感について
特に埋没法の場合、まぶたの裏側に糸が通っているため、目が引っ張られるような感覚や、ゴミが入っているようなゴロツキ感を感じることがあります。これは術後によく見られる症状で、ほとんどの方が数日~1週間程度で慣れて気にならなくなります。
【対処法】
痛みに対して
処方された痛み止めを我慢せずに服用しましょう。また、患部を冷やすことも痛みの緩和に効果的です。
ゴロツキ感に対して
気になっても絶対に目をこすらないでください。処方された点眼薬があれば使用し、症状が長引く場合は医師に相談しましょう。
📝Q&A
Q. 施術の料金はどのくらいかかりますか?
A. 当院では、患者様のご希望やまぶたの状態に合わせて、様々な二重整形のプランをご用意しております。以下は料金の一例です。
| 施術方法 | プラン名 | 料金(税込) |
|---|---|---|
| 埋没法(表留め) | プレミアム二重術リニアクロスダブル | 98,000円 |
| 埋没法(裏留め) | Re:Birth二重術シングル〜シークレット〜 (1点留め) | 132,000円 |
| Re:Birth二重術ダブル〜シークレット〜 (2点留め) | 176,000円 | |
| Re:Birth二重術トリプル〜シークレット〜 (3点留め) | 220,000円 | |
| 自然癒着法 | 韓流自然癒着法 | 165,000円 |
| 切開法 | 顕微鏡下で行う全切開二重術 | 250,000円 |
形成外科専門医、美容外科専門医(JSAPS)として、患者様一人ひとりに最適な治療をご提案いたします。 当院の院長は二重整形の症例件数が15000例以上と、豊富な経験と実績がございます。
ダウンタイムや仕上がりについて、ご不安な点は何でもご相談ください。 まずは無料カウンセリングで、あなたのお悩みをお聞かせいただければ幸いです。
バレずにダウンタイムを乗り切るための具体的な過ごし方
二重整形後のダウンタイムは、理想の目元を手に入れるための大切な期間です。 しかし、「腫れはいつまで続くの?」「周りにバレてしまったらどうしよう」といった不安を感じるのは当然のことです。
近年の調査研究では、日本では学生や社会人の方々が、春休みや夏休みなどの長期休暇を利用して施術を受ける傾向が示されています。 これは、短期間で社会復帰したいというご要望が非常に高いことの表れでしょう。
ご安心ください。術後の過ごし方を少し工夫するだけで、腫れや内出血を最小限に抑え、周囲に気づかれにくくすることが可能です。 ここでは、ダウンタイムを快適に、そしてバレずに乗り切るための具体的な方法を詳しく解説します。

腫れを早く引かせるための正しい冷やし方と就寝時の姿勢
二重整形後の腫れを少しでも早く引かせるためには、「冷やすこと」と「頭を高くして休むこと」が最も効果的です。 この2つは、医学的にも組織の回復を助ける基本となります。
1. 正しい冷却(アイシング)の方法 術後のまぶたは、手術による炎症で熱を持っています。 患部を適切に冷やすことで血管が収縮し、炎症反応を抑え、腫れや痛みを軽減できます。
- 準備するもの
- 清潔なタオルやガーゼ、保冷剤(ケーキについてくるような小さなものが使いやすいです)

- 冷やし方
- 保冷剤をタオルで包み、まぶたに直接ではなく、眉の上やこめかみなど、周辺を優しく押さえるように冷やします。
- 直接まぶたに当て続けると、血行が悪くなりすぎて回復を妨げたり、凍傷のリスクもあるため注意しましょう。
- 時間と頻度
- 「20分冷やして、20〜30分休む」というサイクルを繰り返すのが効果的です。
- 特に炎症のピークである術後3日間(72時間)は、できるだけこまめに行いましょう。
2. 就寝時の姿勢 寝ている間は、重力の影響で顔、特にまぶたのような皮膚の薄い部分に水分や血液が溜まりやすくなります。
- 頭の位置
- 枕を2つ重ねるか、バスタオルを畳んで高さを出すなどして、心臓より頭が高い位置になるように工夫しましょう。
- こうすることで、余分な水分が顔に溜まるのを防ぎ、翌朝のむくみを軽減できます。
- 寝る向き
- うつ伏せや横向きで寝ると、片方のまぶたに体液が集中し、腫れが強く出てしまう原因になります。
- できるだけ仰向けで寝ることを心がけてください。
アジア人のまぶたの構造は非常に繊細です。 そのため、このような丁寧なケアが、最終的な仕上がりの美しさに大きく影響します。
ダウンタイムを最短にする術後ケアと生活上の注意点5つ
ダウンタイムを長引かせないためには、日常生活でのセルフケアが非常に重要です。 以下の5つのポイントを守り、回復を早めましょう。
血行を過度に促進しない 血流が良くなりすぎると、血管が拡張して腫れや内出血が悪化する可能性があります。術後少なくとも1週間は、以下の行動を避けましょう。
- 長時間の入浴やサウナ
- 息が上がるような激しい運動や筋力トレーニング
- アルコール飲料の摂取
患部への物理的な刺激を避ける デリケートな術後のまぶたは、わずかな刺激でも炎症を悪化させる原因になります。
- 無意識に目をこすらない、強く押さない
- スマートフォンやパソコンの長時間利用を控え、目を休ませる
- 洗顔の際は、目元を泡で優しく洗い流す
処方された薬を正しく使用する クリニックから処方された抗生剤や痛み止め、炎症を抑える塗り薬などは、感染予防や炎症抑制に重要な役割を果たします。自己判断で中断せず、医師の指示通りに使用してください。
塩分を控えた食事で「むくみ」を防ぐ 塩分の多い食事は、体の浸透圧を変化させ「むくみ」につながり、まぶたの腫れを助長します。一方で、以下の栄養素を積極的に摂ると良いでしょう。
- カリウム(バナナ、アボカドなど):むくみ排出を助けます。
- タンパク質・ビタミンC:組織の修復を促します。
良質な睡眠で回復を促す 体の回復には、質の良い睡眠が不可欠です。睡眠中に分泌される成長ホルモンが、傷ついた組織の修復を促進してくれます。夜更かしは避け、リラックスして過ごしましょう。
メイク・コンタクトレンズ・洗顔・入浴はいつから可能?
日常生活への復帰時期は、多くの方が気にされる点です。 施術方法によって目安が異なりますが、一般的なものを以下にまとめました。
| 項目 | 埋没法の目安 | 切開法の目安 | 注意点 |
|---|---|---|---|
| メイク(アイメイク以外) | 翌日から可能 | 翌日から可能 | 傷口に触れないように注意してください。 |
| アイメイク | 術後3日~1週間後 | 抜糸(術後5~7日目)の翌々日から | メイクの粒子が感染の原因になるため、医師の許可を得てから開始しましょう。 |
| コンタクトレンズ | ソフト:3日後から ハード:1週間後から | 1週間後から | 装着時にまぶたを引っ張るため、違和感があれば無理は禁物です。 |
| 洗顔・シャワー | 当日・翌日から可能 | 当日・翌日から可能 | 顔を濡らさないように、またゴシゴシこすらないようにしましょう。 |
| 入浴(湯船につかる) | 術後2~3日後から | 抜糸後から | 長湯は血行を促進しすぎるため、しばらくは短時間で済ませましょう。 |
これはあくまで一般的な目安です。 まぶたの状態には個人差があるため、必ず担当医の指示に従ってください。 無理をすると回復が遅れたり、思わぬトラブルの原因になったりすることがあります。 焦らず、慎重に普段の生活に戻していきましょう。
メガネや帽子、前髪を活かして自然に隠すテクニック
どうしても外出しなければならない時や、家族に会う時に備えて、目元の腫れや内出血を自然に隠すテクニックを知っておくと安心です。
メガネを活用する フレームが太めのメガネや、少し色のついたレンズのメガネは、腫れぼったいまぶたをカモフラージュするのに最適です。 視線がメガネに集まるため、目元の印象が和らぎます。伊達メガネでも十分効果的です。
帽子や前髪で影を作る つばの広い帽子やキャップを深めにかぶると、顔に影ができて目元が目立ちにくくなります。 また、厚めの前髪やサイドに流すヘアスタイルも、まぶたを自然に隠してくれます。
メイクの工夫で視線をそらす アイメイクができない期間は、眉やリップ、チークなど、他のパーツのメイクを少し丁寧にすることで、視線をうまくそらすことができます。
コンシーラーで内出血をカバーする 抜糸後などでメイクが可能になったら、内出血の色に合わせてコンシーラーの色(補色)を使うと効果的です。
- 赤紫の内出血:グリーン系のコントロールカラー

- 青っぽい内出血:イエローやオレンジ系のコンシーラー

- 黄色っぽい内出血:ブルーやパープル系のコントロールカラー

これらのアイテムやテクニックを組み合わせることで、ダウンタイム中も安心して過ごすことができます。
よくあるご質問
Q. ダウンタイム中にどうしても外出しなければならない場合、一番効果的な隠し方は? A. 太めのフレームのメガネと、つばの広い帽子を組み合わせるのがおすすめです。顔に影ができて目元が目立ちにくくなります。抜糸後であれば、先ほどご紹介したコンシーラーなどをうまく活用するのも良いでしょう。
Q. 冷やしすぎは良くないと聞きましたが、本当ですか? A. はい、冷やしすぎは血行を悪くしすぎてしまい、かえって回復を遅らせる可能性があります。また、凍傷のリスクもありますので、保冷剤は必ずタオルなどで包んで使用してください。1回20分程度を目安に、休憩を挟みながら行うのが適切です。
二重整形は、専門的な知識と繊細な技術が求められる施術です。 ダウンタイムの過ごし方一つで、仕上がりや満足度が大きく変わることもあります。 当院の院長は、形成外科専門医・美容外科専門医(JSAPS)として15,000例以上の二重整形を手掛けてきた経験があります。 少しでも不安なこと、わからないことがあれば、決して一人で悩まず、いつでも私たち専門家にご相談ください。
ダウンタイムが短くバレにくいクリニックの選び方
二重整形を考えたとき、「周りにバレたくない」「できるだけ早く普段の生活に戻りたい」と願うのは当然のことです。
実は、術後の腫れやダウンタイムの期間は、どのクリニックで、どの医師に、どの施術を受けるかによって大きく変わります。
金額や知名度だけで選ぶのは避けましょう。 ご自身の大切な目だからこそ、技術力が高く信頼できるクリニックを慎重に選ぶことが、理想の二重への一番の近道になります。

自然な仕上がりを実現する医師の見極め方とカウンセリグでの質問リスト
自然で美しい二重を実現し、ダウンタイムを最小限に抑えるには、医師の技術力と経験が最も重要です。
海外の研究でも指摘されているように、特にアジア人のまぶたは皮下脂肪が厚く、蒙古襞(もうこひだ)があるなど、その構造が非常に複雑です。 そのため、一人ひとりの骨格やまぶたの状態に合わせた最適な手術計画を立てられる、体系的な知識を持った医師を選ぶ必要があります。
【医師を見極める3つのチェックポイント】
専門医資格の有無を確認する 「形成外科専門医」や「日本美容外科学会専門医(JSAPS)」は、厳しい基準をクリアした医師のみに与えられる資格です。 これらは、美容外科だけでなく、体の構造や機能に関する広範な知識と高い技術を持つ医師の証となります。
症例写真の質と量を見る 多くの症例写真が公開されているかを確認しましょう。 ご自身のまぶたと似たタイプの症例や、希望するデザインに近い仕上がりの写真があるかを見て、医師の美的センスや技術の安定性を判断します。
精密な手技へのこだわりを知る 近年の研究では、手術用顕微鏡(マイクロスコープ)を用いた精密な手技が、組織へのダメージを抑え、術後の瘢痕(きずあと)を軽減する可能性が示されています。 このような取り組みは、腫れや内出血を軽減し、回復を早めることにつながります。
【カウンセリングでの質問チェックリスト】 納得のいく施術を受けるために、カウンセリングでは以下の点を質問してみましょう。
| チェック項目 | 質問の例 |
|---|---|
| □ 術式の提案 | 私のまぶたの構造的な特徴を踏まえ、どの術式が最も適していますか?その理由も教えてください。 |
| □ リスク説明 | 考えられるリスクや副作用、合併症について具体的に教えてください。 |
| □ ダウンタイム | 腫れや内出血を抑えるために、手術中にどのような工夫をしていますか? |
| □ シミュレーション | 理想の二重幅について、複数のパターンで詳しくシミュレーションをしてもらえますか? |
| □ 保証制度 | もしもの場合の保証制度の内容について、詳しく教えてください。 |
| □ 医師の実績 | 先生が執刀した、私と似たタイプの症例写真を見せてください。 |
腫れにくい術式を選ぶために知っておきたい埋没法の種類と特徴
埋没法は、切開法に比べてダウンタイムが短いのが特徴ですが、その中でも術式によって腫れの出やすさが異なります。
主に、まぶたの皮膚側から糸を通す「表留め」と、まぶたの裏側からアプローチする「裏留め」の2種類があります。 それぞれの特徴を理解して選ぶことが大切です。
| 種類 | 特徴 | メリット | デメリット |
|---|---|---|---|
| 表留め | まぶたの皮膚側に糸の結び目を作る方法 | ・比較的費用が安い傾向にある ・幅広いデザインに対応しやすい | ・皮膚側に小さな針穴ができる ・裏留めに比べて腫れが出やすいことがある |
| 裏留め | まぶたの**裏側(結膜側)**に糸の結び目を作る方法 | ・皮膚表面に傷がつかないため、腫れや内出血が少ない ・術直後からメイクが可能(クリニックによる) | ・表留めに比べて費用が高い傾向にある ・目に違和感(ゴロツキ感)が出ることがある |
【腫れに影響するその他の要因】
糸の固定点の数 2点留め、3点留めと点数が増えるほど二重のラインは安定し長持ちしますが、まぶたへの負担が増え、腫れが出やすくなる傾向があります。
二重の幅 幅の広い二重を作るほど、まぶたの組織を大きく折りたたむ必要があり、腫れが強く出やすくなります。 自然で無理のない幅にすることが、ダウンタイムを短くするコツです。
よくあるご質問
Q. どの術式が一番おすすめですか?
A. 最適な術式は、あなたのまぶたの厚さ、脂肪の量、皮膚の状態、そして希望する二重のデザインによって一人ひとり異なります。 アジア人の複雑なまぶたの構造を熟知した医師が、カウンセリングであなたのまぶたを丁寧に診察し、シミュレーションを行いながら、最も適した方法をご提案します。
当院では、二重整形症例件数15,000例以上の経験を持つ形成外科専門医・美容外科専門医(JSAPS)である院長が、カウンセリングから施術まで一貫して担当します。 あなたにとって最良の選択肢を一緒に見つけていきましょう。 まずはお気軽に無料カウンセリングにお越しください。
【当院の二重術料金(税込)】
| 施術方法 | 施術名 | 料金 |
|---|---|---|
| 埋没法(表留め) | プレミアム二重術リニアクロスダブル | 98,000円 |
| 埋没法(裏留め) | Re:Birth二重術シングル〜シークレット〜 (1点留め) | 132,000円 |
| Re:Birth二重術ダブル〜シークレット〜 (2点留め) | 176,000円 | |
| Re:Birth二重術トリプル〜シークレット〜 (3点留め) | 220,000円 | |
| 自然癒着法 | 韓流自然癒着法 | 165,000円 |
| 切開法 | 顕微鏡下で行う全切開二重術 | 250,000円 |
まとめ
今回は、二重整形のダウンタイムや周りにバレずに乗り切るための過ごし方について、詳しく解説しました。
「腫れはどのくらい?」「仕事は何日休めばいい?」といった不安は、施術方法の選択と術後の丁寧なケアで大きく和らげることができます。ご紹介したように、術後の冷却や生活習慣も大切ですが、何よりもあなたのまぶたに合った最適な施術を提案し、丁寧な手術を行ってくれる医師を選ぶことが、ダウンタイムを短くする一番の近道です。
この記事を読んで、まだ解消しきれない不安や疑問があるかもしれません。どんな些細なことでも、一人で悩まずに専門家へ相談することが大切です。まずは無料カウンセリングで、あなたの理想の二重についてお話を聞かせていただくことから始めてみませんか。
最後までお読みいただきありがとうございます。
美容のお悩みは、
「これって相談していいのかな?」
「まずは話だけ聞いてみたい」
そんなお気持ちを持たれる方も多いと思います。
当院では無料カウンセリングを行っております。
無理なご提案はせず、お一人おひとりのお悩みやご希望を大切にしながらお話を伺いますので、
ご相談だけでもどうぞお気軽にお越しください。
📷 院長Instagram
📷 クリニック公式Instagramでは、施術の考え方や院内の雰囲気、日常の様子なども発信しています。
初めての方にも、当院の雰囲気を感じていただけるかと思います。
また、匿名で院長に直接質問できるオープンチャットもご用意しています。
来院前のちょっとした疑問や不安がある方におすすめです。
ご予約は
公式LINE または お電話 (0120-137-375)にて承っております。
(タップorクリックするとリンク先へ移動します。)
皆さまが前向きな気持ちで美容医療と向き合えるよう、心を込めてサポートいたします。
🗺️ご来院頂いている主なエリア🗺️
愛知県:名古屋市(南区、瑞穂区、昭和区、天白区、緑区、熱田区、港区、中川区、西区、北区、守山区、東区、千種区、名東区、中区、中村区)
刈谷市、安城市、日進市、豊田市、長久手市、大府市、東海市、瀬戸市、岡崎市、尾張旭市、北名古屋市、高浜市、碧南市
岐阜県、三重県
Re:Bitrh Clinic Nagoya(リバースクリニックナゴヤ)
📫457-0012 愛知県名古屋市南区菊住1-4-10 Naritabldg 3F
皮膚科、形成外科、美容外科、美容皮膚科
☎️0120-137-375
✉️info@rebirth-clinic.jp
参考文献
- 二重の手術ガイドライン
- Okumura K, Tamura T, Funakoshi Y, Teranishi H, Okumura K et al. Time-Series and Demographic Trends in Cosmetic Surgery: Multicenter Analysis of Double-eyelid Embedding in Japan.
- Yang E, Hengshu Z et al. Clinical Comparison of 3 Different Double Eyelid Surgeries.
- Chang C, Marcasciano M, Liu C-W, Di Meglio F, Chen H-C, Chang C et al. Aesthetic Asian double eyelid surgery: Exploring a novel indication for microsurgery.
- McCurdy JA Jr. Upper blepharoplasty in the Asian patient: the “double eyelid” operatio